Mobilno-protetska terapija pacijenata s nezavršenim rastom i razvojem
Dr. med. Dent. Oleksii Petrash1
izv. prof. dr. sc. Ivica Pelivan2
[1] Stomatološki fakultet Sveučilišta u Zagrebu
[2] Zavod za mobilnu protetiku, Sveučilište u Zagrebu Stomatološki fakultet
Sažetak
Mobilna protetska terapija kod pacijenata s nezavršenim rastom i razvojem zahtijeva multidisciplinarni pristup jer su konvencionalne protetske mogućnosti često ograničene. Genetski sindromi kao ektodermalna dinplazija, Downov sindrom, Turnerov sindrom i Apertov sindrom česti su uzroci većih bezubih područja ili potpune bezubosti kod mladih pacijenata. Mobilne proteze, uključujući djelomične i potpune proteze te pokrovne proteze, nude značajne prednosti nad fiksnim konstrukcijama: neinvazivnost, mogućnost adaptacije prilikom rasta i razvoja pacijenta te brzu izradu i popravak. Indikacije uključuju veće bezube raspone, kraće bezube raspone prije skoka rasta, skraćene zubne lukove, potpunu bezubost te planiranje budućih implantoprotetskih terapija. Važne kontraindikacije su pomičnost zubi, nemogućnost održavanja oralne higijene i potreba za ortodontskim pomacima. Potpune proteze su često jedina opcija za potpuno bezube pacijente, ali zahtijevaju česte adaptacije (svakih šest mjeseci) i izradu novih proteza svakih četiri do šest godina. Djelomične proteze lakše se prilagođavaju i primjenjuju se u ranoj mješovitoj denticiji, dok se pokrovne proteze s teleskopskim krunama preporučuju u kasnoj mješovitoj i trajnoj denticiji. Uspješna terapija ovisi o dobrom planiranju, redovitim kontrolama, čuvanju preostalih zubi i suradnji pacijenta u održavanju oralne higijene.
Ključne riječi: Potpuna proteza; djelomična proteza; rast i razvoj; ageneza zubi; hipodoncija
Uvod
Potreba za mobilnom protetskom terapijom može se javiti u skupini pacijenata s nezavršenim rastom i razvojem. Protetska terapija kod takvih pacijenata znatno je složenija u odnosu na konvencionalnu protetsku terapiju te zahtijeva multidisciplinarni pristup. Među najčešćim razlozima za mobilno-protetskom terapijom pacijenata s nezavršenim rastom i razvojem nalaze se sindromske bolesti, koje često dovode do nedostatka većeg broja zubi ili potpune bezubosti. Od takvih sindroma primarno treba izdvojiti ektodermalnu displaziju (učestalost u populaciji 1 na 10000), Downov sindrom (učestalost u populaciji 1 na 1000), Turnerov sindrom (učestalost u populaciji 1 na 2500) te Apertov sindrom (učestalost u populaciji 1 na 100000) [1, 2].
Potreba za mobilnom-protetskom terapijom
Protetsko liječenje pacijenata prije završetka rasta i razvoja vrlo je izazovan zadatak za bilo kojeg terapeuta, osobito u kliničkim slučajevima s većim bezubim područjima. Prije početka terapije, terapeut mora točno znati u kojem životnom razdoblju koju vrstu terapije koristiti. Uvodno spomenuti genetski sindromi mogu uzrokovati agenezu većeg broja zubi koji dovode do velikih defekata u zubnim lukovima. Veliki defekti ne mogu se tretirati mostovima jer su oni predugih raspona ili terminalni (u slučajevima kad ne postoje distalni zubi nosači). Mobilne proteze ne samo da nadoknađuju funkciju takvim pacijentima, nego se mogu i brzo prilagođavati zbog rasta i razvoja pacijenta. Neke vrste mobilnih proteza u sebi mogu imati ugrađene ortodontske elemente [2, 3, 4–7]. Od najvažnijih čimbenika planiranja terapije potrebno je istaknuti invazivnost rada, zaštitu preostalih zubi te dugotrajnost, uz ispunjavanje žvačnih i estetskih funkcija.
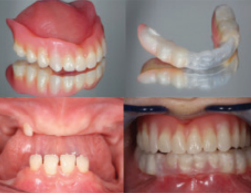
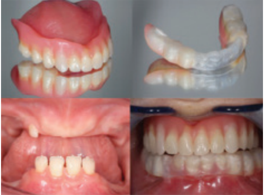
Slika 1. Djelomična i potpuna zubna proteza kod pacijenata s nezavršenim rastom i razvojem. Preuzeto iz [7].
Indikacije i kontraindikacije za mobilno-protetsku terapiju
U protetskoj opskrbi pacijenata s nezavršenim rastom i razvojem, mobilne proteze imaju velike prednosti u odnosu na fiksne konstrukcije. Najvažnije prednosti mobilno-protetskih terapijskih rješenja su neinvazivnost, mogućnost povremene adaptacije proteza te brza izrada i reparatura. Osim toga dovoljno visoka estetika te zadovoljavajuća žvačna funkcija čine mobilne proteze dovoljno dobrim terapijskim izborom za populaciju pacijenata s nezavršenim rastom i razvojem, posebice za populaciju prije naglog „skoka” rasta, a katkad i nakon toga. No, moramo biti svjesni da mobilne proteze ipak imaju i brojne nedostatke. Takva terapija od terapeuta zahtijeva dobro planiranje, a od pacijenta dobru oralnu higijenu [2].
Kod hipodoncije ili oligodoncije gubitak čak i jednog zuba može biti presudan za uspjeh cjelokupne terapije. Sličan problem može nastati i uslijed pogrešne raspodjele opterećenja na zube nosače, pri čemu nefiziološke i prekomjerne sile mogu uzrokovati traumu parodonta te posljedično dovesti do gubitka zuba. Stoga je, radi prevencije nepoželjnih komplikacija, nužno pravilno procijeniti indikacije i odabrati odgovarajući terapijski pristup u svakom pojedinom kliničkom slučaju [2, 8, 9] .
Indikacije za korištenje mobilnih proteza kod pacijenata s nezavršenim rastom i razvojem:
- većirasponibezube čeljusti
- kraćirasponibezube čeljusti prije skoka rasta
- skraćenizubniluk
- potpunobezubipacijenti (za potpune proteze)
- planiranjeterapijenošene implantatima
- ekonomskirazlog
Naravno, terapeut mora sam procijeniti vrstu terapije koju će izabrati kod svakog pacijenta jer se često na istome pacijentu uspješno može primijeniti nekoliko vrsta terapija. Djelomične proteze mogu se upotrebljavati po potrebi i kod pacijenata kod kojih se u istom trenu može primjenjivati fiksno-protetska terapija, primjerice u slučajevima kad neki zubi zahtijevaju obilno brušenje za most, onda se, barem privremeno, može iskoristiti djelomična proteza [2, 3].
Kao i za bilo koju drugu vrstu terapije, u mobilnoj protetici postoje i brojne kontraindikacije, koje su najčešće povezane sa željama pacijenta, planiranjem terapije ili stanjem postojećih zubi, a to su:
- pomičnostzubidrugog ili više stupnja
- nemogućnostodržavanjaoralne higijene
- potreba zaortodontskimmeziodistalnim pomakom zubi [2, 3]
Potpune proteze
Kod 16,7 % pacijenata koji boluju od ektodermalne displazije postoji potpuna agenezijska anodoncija. Kod takvih pacijenata, prije završetka rasta i razvoja, ne postoji nijedna dokazana terapija, osim potpuno mobilnih proteza [10].
Retencija, rezistencija i stabilizacija potpunih proteza na njihovom ležištu osigurava se s pomoću negativnog tlaka, ventilnog učinka, točno prilagođenom unutarnjom površinom proteze te stabilnim i preciznim okluzijskim odnosima [2, 10].
Proteze zahtijevaju trajnu prilagodbu zbog stalnog rasta i razvoja mladih pacijenata [2]. Retenciju potpunih proteza može pogoršati smanjena salivacija te nedovoljan razvoj alveolarne kosti, koji značajno otežava korištenje proteze mladim pacijentima što katkad može prouzročiti i pacijentovo odbijanje nošenja proteze. U takvom slučaju pacijent i roditelji moraju biti upozoreni na to da to da je riječ o jedinoj mogućoj vrsti terapije, a dugo razdoblje bez ikakve terapije, može prouzročiti niz reakcija u probavnom, estetskom, psihičkom i neuromuskulaturnom sustavu. Također može otežavati buduće navikavanje pacijenta na bilo koji protetski rad u ustima [2].
Vrlo je važno redovito kontrolirati pacijenta te raditi podlaganje i adaptaciju proteze. Ovisno o dobi, razvoju i rastu pacijenta, potrebno je vrlo često izrađivati nove proteze. Vergo navodi da prilagodba mora biti napravljena svakih šest mjeseci, dok se nova proteza mora izraditi svakih četiri do šest godina [11]. U suprotnom, mogu se pojaviti kronične iritacije sluznice pacijenta s pojavom ulkusa te hiperplastičkih epulisa. Jedna od velikih mana potpunih proteza, čak i kad je sve napravljeno po protokolu, je nemogućnost fiziološkog prijenosa žvačnih sila na ležište što često može dovesti do još većih atrofija alveolarnoga grebena te gubitka keratiniziranog tkiva. Zbog navedenih razloga, potencijalna buduća implantoprotetska terapija takvih pacijenata nakon završetka razvoja, može biti otežana i često zahtijevati vrlo invazivne augmentacijske postupke [2, 11].
Zaključno, izrada potpunih proteza kod mladih pacijenata ne razlikuje se od izrade kod odrasle populacije. Naravno, potrebno je napraviti prikladan funkcijski otisak te dobro uskladiti okluzijske odnose da bi korištenje proteze pacijentu bilo što ugodnije uz uspostavu funkcija žvačnoga sustava [2].
Djelomične proteze
Kod mladih pacijenata, najčešće u ranoj mješovitoj denticiji, njihovi roditelji prilično često traže izradu djelomičnih proteza. Obično se izrađuju akrilatne proteze retinirane žičanim kvačicama. Takve konstrukcije zahtijevaju čestu prilagodbu prije završetka rasta pacijenta, a također otežavaju održavanje oralne higijene što može dovesti do nastanka karijesa i parodontoloških problema na preostalim zubima. Istodobno, kod pacijenata s djelomičnim protezama, terapeut može procijeniti i reakciju pacijenta na buduće protetske radove što može biti od velike koristi u planiranju budućih protetskih terapija. U svakom slučaju, djelomična proteza može se preporučiti kao terapijsko sredstvo kod hipodoncije i ologodoncije. Okluzijski mora biti dobro usklađene kako ne bi dovela do trošenja antagonističkih zubi, ako oni postoje. Jedna od velikih prednosti djelomičnih proteza je njihova niska cijena, brzina i jednostavnost izrade te mogućnost prilagodbe zbog rasta i razvoja [2].
Djelomične proteze imaju žvačno opterećenje djelomično raspoređeno na zubima, a djelomično na sluznici. Za razliku od potpunih proteza, zahtijevaju postojanje prikladnih zuba nosača. Također se mogu koristiti i kod manjih defekata kada u ustima postoji samo nekoliko zubi. Može se retinirati na zubima s pomoću kvačica ili, u rijetkim slučajevima, preciznim pričvrscima. Prva opcija je manje povoljna, osobito ako se uzme u obzir da prijenos opterećenja te dugotrajnost kvačica nisu zadovoljavajući kod mlađih pacijenata kod kojih se očekuje dugi rok trajanja proteze uz manji rizik za gubitak zuba nosača. Mnogo je bolja varijanta terapija protezama fiksiranima preciznim pričvrscima, ali tada u ustima istodobno moraju postojati i zdravi zubi koji se moraju brusiti za izradu modificiranih fiksnih kruna s retencijskim elementima. U većini slučajeva djelomične proteze ipak ispunjavaju ulogu privremenog rada dok pacijent ne završi s rastom [2, 3, 11].
Djelomične proteze indicirane su i u mliječnoj denticiji te čak mogu biti retinirane na mliječnim zubima. U takvim slučajevima terapeut uvijek mora biti spreman na gubitak takvog zuba, a onda i na potrebu za prilagodbom ili ponovnom izradom proteze. Optimalno je rješenje kada terapeut može odmah na početku terapije predvidjeti i isplanirati koje bi zube nosače u budućnosti pacijent mogao izgubiti i na temelju toga planirati retencijske i stabilizacijske elemente tako da nakon gubitka nekih zubi proteza, uz prilagodbe, još uvijek može dobro funkcionirati [2, 3].
Pokrovne proteze
Pokrovne proteze podvrsta su djelomičnih proteza koje se fiksiraju na postojećim zubima uz pomoć teleskopskih sustava (kruna). Retencija takvih radova osigurava se bliskim dodirom patrice na zubu i matrice u protezi zbog frikcijskog djelovanja dviju točno prilagođenih metalnih ploha. Često pruža superiorniju retenciju te stabilizaciju, a također osovinski prenosi okluzijsko opterećenje na zube nosače, što predstavlja manji rizik za nastanak okluzijske traume i oštećenja parodonta. Osim toga, pokrovne proteze nošene teleskopskim krunama, za razliku od drugih djelomičnih proteza, sekundarno povezuju zube u blok, što zapravo znači poboljšani prijenos žvačnog opterećenja [2, 3, 12].
Teleskopske krune kao i djelomične proteze s preciznim retencijskim elementima imaju velike prednosti u obliku povoljne retencije, rezistencije te stabilizacije, olakšane oralne higijene te vrlo često i dobrih estetskih svojstava. S druge strane, precizni pričvrsci i teleskopske krune, zbog preciznosti retencijskih elemenata, često se ne mogu zadovoljavajuće prilagoditi tijekom potrebe za prilagodbom proteze. Zbog toga je često potrebno izraditi novu protezu što zbog visokih troškova može takvu terapiju učinit nedostupnom određenom broju pacijenata [12].
Zaključak
Mobilne djelomične proteze dobar su terapijski izbor kod pacijenata koji zahtijevaju protetsku terapiju u vrlo ranoj dobi. Pokrovne proteze ne preporučuju se za primjenu u mliječnoj denticiji zbog malih zuba nosača i otežane adaptacije, ali predstavljaju terapiju izbora u kasnoj mješovitoj i trajnoj denticiji. Djelomične proteze mogu se lakše prilagoditi te se stoga češće primjenjuju kod vrlo mladih pacijenata. Potpune su proteze, unatoč određenim nedostacima, često jedina terapijska opcija u slučaju potpune bezubosti [2, 12].
Literatura:
- Songra G, Mittal TK, Williams JC, Puryer J, Sandy JR, Ireland AJ. Assessment of growth in orthodontics. Orthod Update. 2017;10(1):16-23.
- Hobkirk JA, editor. Hypodontia: A Team Approach to Management. 1st ed. Somerset: John Wiley & Sons; 2011. p. 1.
- Vulićević Z, Beloica M, Kosanović D, Radović I, Juloski J, Ivanović D. Prosthetics in paediatric dentistry. Balk J Dent Med. 2017;21(2):78-82.
- Bloch-Zupan A, Sedano H, Scully C. Dento/Oro/Craniofacial Anomalies and Genetics. Elsevier; 2012. 265 p.
- Callea M, Teggi R, Yavuz I, Tadini G, Priolo M, Crovella S, et al. Ear nose throat manifestations in hypoidrotic ectodermal dysplasia. Int J Pediatr Otorhinolaryngol. 2013 Nov;77(11):1801-4.
- Schnabl D, Grunert I, Schmuth M, Kapferer-Seebacher I. Prosthetic rehabilitation of patients with hypohidrotic ectodermal dysplasia: A systematic review. J Oral Rehabil. 2018;45(7):555-70.
- Cagetti MG, Camoni N, Cetraro F, Scanferla M, Moretti GM. Special-needs patients in pediatric dentistry: Progeroid syndrome. A case of dental management and oral rehabilitation. Pediatr Rep. 2019;11(2):7951.
- Klineberg I, Cameron A, Whittle T, Hobkirk J, Bergendal B, Maniere MC, et al. Rehabilitation of children with ectodermal dysplasia. Part 1: An international Delphi study. Int J Oral Maxillofac Implants. 2013;28(5):1090-100.
- Klineberg I, Cameron A, Hobkirk J, Bergendal B, Maniere MC, King N, et al. Rehabilitation of children with ectodermal dysplasia. Part 2: An international consensus meeting. Int J Oral Maxillofac Implants. 2013;28(5):1101-9.
- Nadolinski M, Schlenz MA, Rahman A, Krämer N, Schulz-Weidner N. A comparative retrospective study on the prevalence and therapeutic treatment of dental agenesis between healthy children and children with systemic disease or congenital malformation. BMC Pediatr. 2023;23(1):322.
- Vergo TJ. Prosthodontics for pediatric patients with congenital/developmental orofacial anomalies: a long-term follow-up. J Prosthet Dent. 2001;86(4):342-7.
- MacDonald RE, Avery DR, Dean JA, editors. Dentistry for the child and adolescent. 8th ed. St. Louis: Mosby; 2004. 769 p.



