https://www.sonda-sfzg.eu/wp-content/uploads/2025/04/Slika-2-scaled.jpg
2560
2041
admin
https://www.sonda-sfzg.eu/wp-content/uploads/2023/04/sonda-logo.jpg
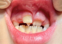
admin2025-04-01 15:14:132025-09-11 09:42:17Dentinski graft – sadašnjost ili budućnostPrvi put je objavljen davne 1999. godine te time nosi titulu najdugovječnijeg studentskog projekta Stomatološkog fakulteta.
Studenti Stomatološkog fakulteta u Zagrebu čine uredništvo časopisa Sonda. Cilj je potaknuti sve zainteresirane za pisanje članaka u časopisu.
Nakon truda oko administracije, prikupljanja starih Sonda iz arhive te analiziranja materijala, Sonda je predstavljena u novom, digitalnom obliku.
STOMATOLOŠKA SONDA
U svojim počecima časopis nosi naziv “Stomatološka Sonda”, a njegov osnivač je tadašnji student, današnji doc. dr. sc. Davor Illeš.
Sonda je s godinama postala jedan od najprepoznatljivijih projekata našeg fakulteta. 2010./11. godine prepoznata je i od strane Sveučilišta te nagrađena posebnom Rektorovom nagradom. Zahvaljujući inicijativi pokrenutoj od strane članica Uredništva Sonde u akademskoj godini 2022./2023. dodijeljena je druga po redu Rektorova nagrada za projekt Digitalizacije studentskog časopisa Sonda. Početkom 2023. godine Sonda dobiva svoje mjesto na centralnom portalu Hrčak koji na jednom mjestu okuplja hrvatske znanstvene i stručne časopise te je tako još jednom potvrdila svoju vrijednost.
ČLANOVI UREDNIŠTVA
Kao glavna urednica dužnost obavlja Matea Blažević, studentica pete godine, no uz nju sadržaju i radu časopisa doprinose Nelly Bubica Šarić, Ema Dragija, Jana Islamović, Dora Kalac, Katarina Kovač, Petra Mlinarić, Antonija Perić, Carla Rosanda i Vanda Vrček
Naslovnica 49. broja
Dragi naši čitatelji,
u akademskoj godini 2022./23. časopis Sonda dobio je vlastitu mrežnu stranicu. U nastavku imate priliku upoznati prvi potpuno digitalni oblik naše Sonde.

ZNANJE I RAST U ZNANSTVENO-ISTRAŽIVAČKOM SVIJETU
Uvijek naglasak stavljamo na stjecanje znanja i rast u znanstveno-istraživačkom svijetu, ali čitatelje potičemo i na pisanje članaka o svim aktivnostima i događajima u kojima pronalaze interes i koje smatraju zanimljivijima. Uredništvo trenutno broji deset članova.













